一、认识脑静脉畸形
它是先天性静脉系统结构异常,不同于动脉畸形,更像"走错路的溪流":
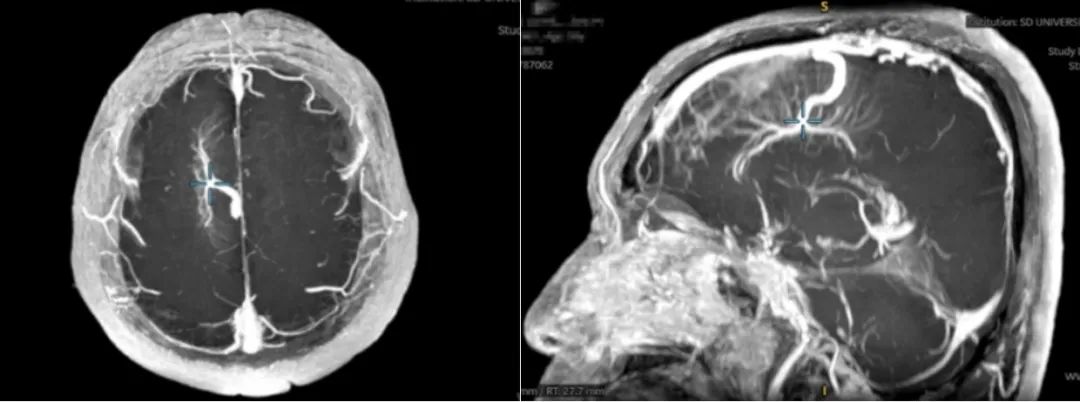
结构特征:异常扩张的静脉呈"水母头"状(中央粗大引流静脉+放射状小静脉)
核心特点:
血流缓慢,压力仅为动脉系统的1/10
年出血率仅0.15%-0.34%(远低于动脉畸形)
70%以上患者终身无症状
发病率:约2%-3%人群存在,常被称作"最善良"的血管畸形
关键区分:与海绵状血管畸形不同,它由正常静脉壁构成,极少合并出血灶。
二、可能出现的症状(仅30%患者)
慢性头痛(最常见,与静脉回流受阻相关)
癫痫发作(邻近皮层的病灶可能诱发)
局灶神经症状:视力障碍、肢体无力(多由占位效应引起)
罕见出血:突发剧烈头痛(多位于脑室旁或小脑)
重要事实:90%以上的出血可自行吸收,不遗留神经功能障碍。
三、诊断"双保险"
MRI+SWI(磁敏感加权成像):清晰显示"水母头"特征
CT静脉造影:急诊排查出血的首选
DSA血管造影:诊断金标准(但90%病例无需进行)
特别提示:普通CT/MRI可能漏诊,需特别注明"排查静脉畸形"。

四、治疗原则:少干预,多观察观

重要共识:国际指南明确反对预防性手术,切除畸形可能破坏正常引流通路!
五、患者高频问题解答
会遗传给下一代吗?
多为散发,家族性病例不足1%
能继续健身/跑步吗?
可正常运动,无需特殊限制(包括马拉松等)
需要长期吃药吗?
无症状者无需用药,癫痫患者需遵医嘱服药
会发展成脑瘤吗?
与肿瘤无关联,不会恶变
体检发现后要辞职休养吗?
完全不影响正常工作生活

六、日常注意事项
避免滥用抗凝药物(如阿司匹林需医生评估)
控制盐摄入(每日<6g),减轻静脉回流负担
建立症状日记:记录头痛频率、持续时间
结语
脑静脉畸形更像大脑里的"特殊印记"而非疾病。放下不必要的焦虑,与其"过度治疗",不如"科学共存"。
关注我们,了解更多健康知识,守护您和家人的脑部健康!

